Adresse und e-mail Kontakt
Prophylaxe bedeutet VorsorgeAbbildung Prophylaxe-Bonusheft

>> CAREDENT-Aktiv <<

Das sportliche Team der
Zahnarztpraxis CareDent
nahm teil am
Triathlon 2009 in Köln.

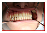
Die Arbeitsschritte beim Implantat

• Bestimmte Allgemeinerkrankungen können den Erfolg der Implantatbehandlung beeinflussen. Deshalb ist vorher ein Gesundheits-Check beim Hausarzt erforderlich.

• Der Zahnarzt formt im ersten Schrift den Kiefer ab, um ein Situationsmodell zu erstellen. Dieses Modell bildet die Grundlage zur Planung des neuen Zahnersatzes. Der Patient kann bei der Gestaltung mitwirken. Zusammen mit Röntgenbildern ist der Kieferabdruck die Grundlage für den chirurgischen Eingriff.

• Als nächstes erfolgt die eigentliche Operation. Unter einer örtlichen Betäubung wird das schraubenförmige Implantat in den Kieferknochen eingesetzt.

• Nach einer Einheilphase von drei bis sechs Monaten wird die Krone auf den Implantatpfosten gesetzt.

Der Heilungsprozess bei Implantaten wird sorgfältig kontrolliert. Das künstliche Implantatmaterial ist gut verträglich.

Bitte beachten Sie: Implantate gehören nicht zu den Regelleistungen der gesetzlichen Krankenkassen. Lassen Sie deshalb vorher immer einen Heil- und Kostenplan erstellen.

Mehr Informationen rund um die Implantologie geben wir Ihnen gerne.