
Wenn ein Zahn so stark beschädigt ist, dass eine Einlagefüllung nicht mehr möglich ist, kann er überkront werden. Hierbei wird im Dentallabor auf der Basis eines Abdruckes ein Zahnersatz angefertigt, der den Zahn ganz oder teilweise überdeckt. Man unterscheidet zwischen Vollgusskronen, Metall-Keramikkronen und Vollkeramikkronen.

bestehen aus einer Edelmetall-Legierung und finden aus kosmetischen Gründen nur noch selten Verwendung.
werden heute am meisten eingesetzt. Hierbei wird ein Metallgerüst mit einer keramischen Masse verblendet. Solche Kronen erzielen gute kosmetische Ergebnisse und halten lange.

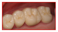
bestehen vollständig aus keramischen Massen und werden sowohl im Frontzahnbereich, als auch im Seitenzahnbereich eingesetzt; Diese Kronen wirken sehr natürlich, haben eine ausgezeichnete Verträglichkeit und sind lange haltbar. Deshalb wird die Vollkeramikkrone auch als „Krone der Kronen“ bezeichnet.